Dr. Rachita Jaiswal

Phone Number: +91 8853369876


About Us
Contact Us
Career
Follow Us




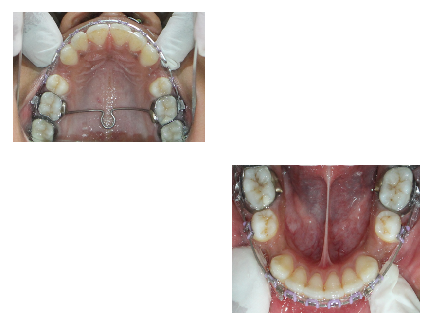
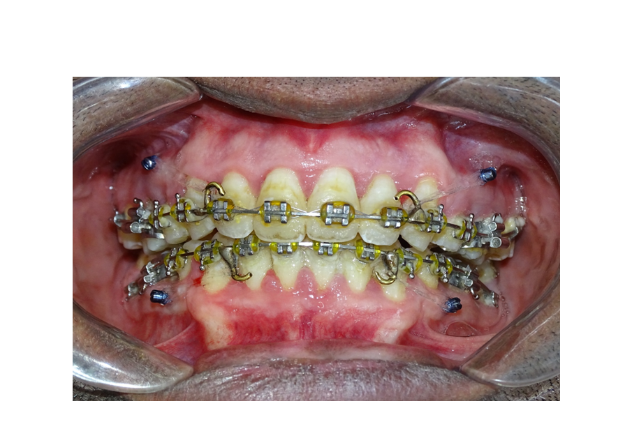
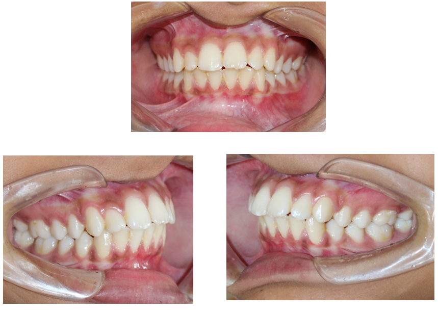
Successful Story



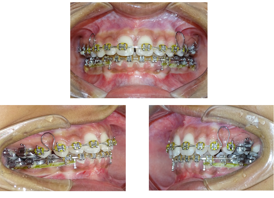
Case 1
Orthodentic Treatment


























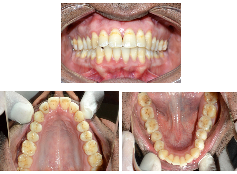
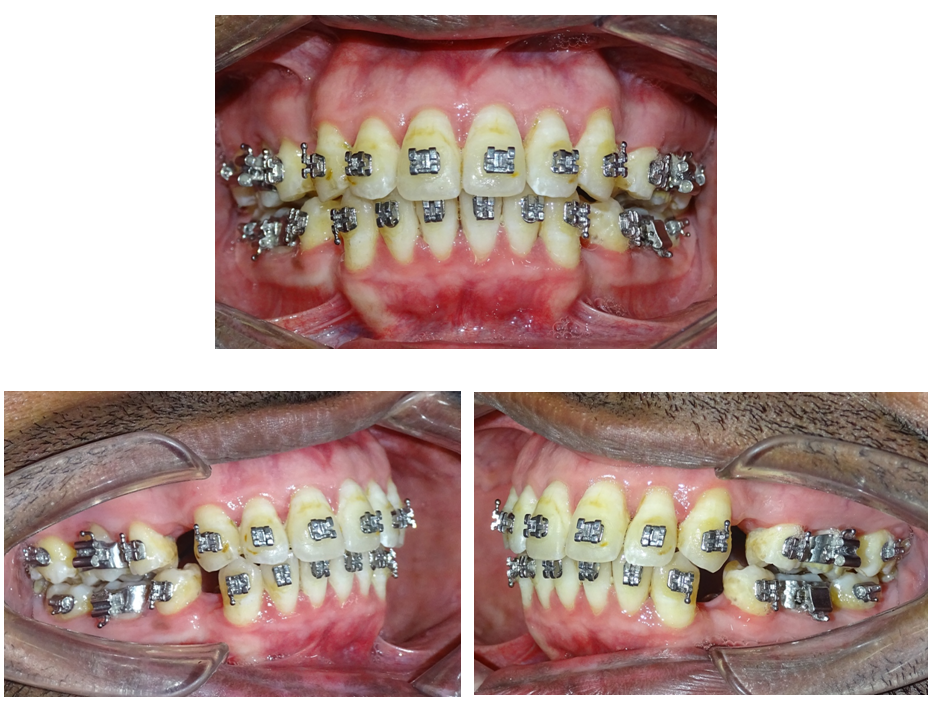
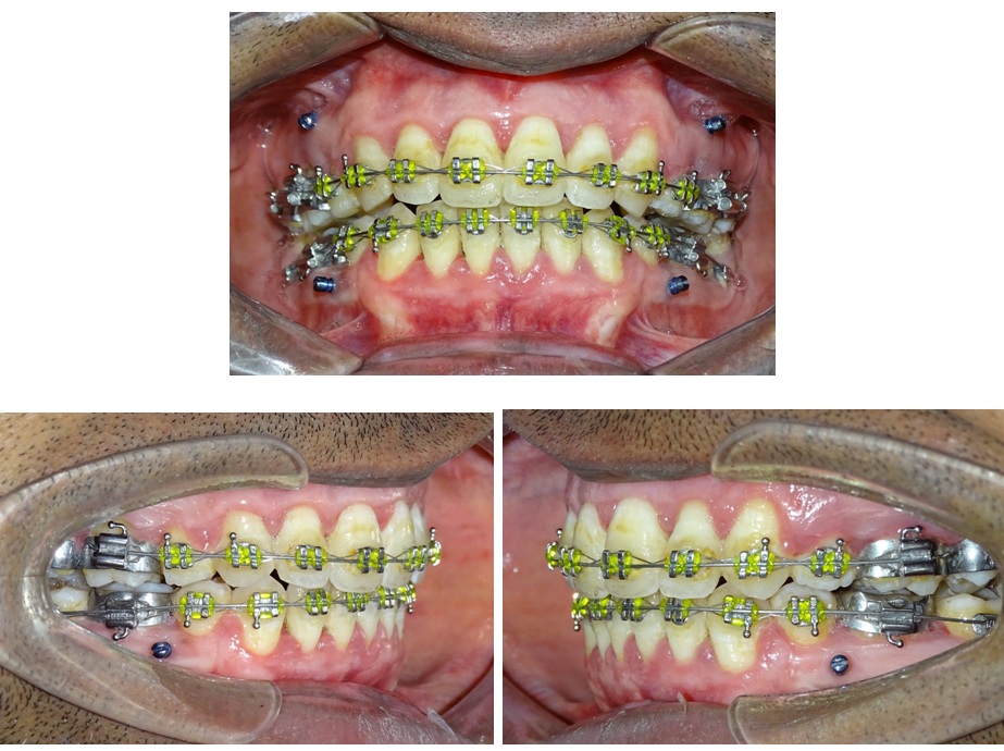
Case 2
Orthodentic Treatment